We Offer Different Services To Improve Your Health

#

Treatments

Lets begin with a smile. Our team is dedicated to provide you with the individual, gentle care that you deserve in a sterile environment. Our vision is to help you achieve and maintain excellent Dental health. We are committed to provide quality dentistry and making excellent dental health a reality to all our patients in a relaxed and friendly atmosphere. We are able to offer the highest quality care available, regardless of which dental specialty it might be.


  •  ORTHODONTICS
    •  FIXED ORTHODONTIC BRACES
    •  ALIGNER (INVISALIGN, MAXDENT ALIGNER)
    •  MYO FUNCTIONAL APPLIANCES
  •  ENDODONTICS & CONSERVATIVE DENTISTRY
    •  ROOT CANAL TREATMENT
    •  POST AND CORE
    •  ENDO CROWN
    •  INLAY
    •  ONLAY
    •  COMPOSITE RESTORATIONS
  •  ESTHETIC DENTISTRY
    •  SMILE DESIGNING
    •  DIASTEMA CLOSURE
    •  CERAMIC VENEERS
    •  TOOTH JEWEL
    •  TEETH WHITENING
  •  PERIODONTICS
    •  DEEP SCALING (SUB GINGIVAL SCALING) AND CURETTAGE
    •  GINGIVECTOMY
    •  FRENECTOMY
    •  FLAP SURGERY
    •  DE-PIGMENTATION
  •  PROSTHODONTICS
    •  DENTAL IMPLANTS (SINGLE, & MULTIPLE TOOTH)
    •  IMPLANT SUPPORTED DENTURES
    •  FIXED PARTIAL DENTURE (BRIDGE) with METAL FREE ZIRCONIA
    •  METAL FUSED PORCELAIN
    •  REMOVABLE FLEXIBLE PARTIAL DENTURE
    •  FULL DENTURES
    •  MARY LAND BRIDGE
  •  PEDIATRIC DENTISTRY
    •  PULPOTOMY
    •  PULPECTOMY
    •  FLUORIDE APPLICATION
    •  ZIRCONIA CROWNS
    •  MYO-FUNCTIONAL APPLIANCES
    •  HABIT BREAKING APPLIANCES
  •  ORAL SURGERY
    •  APICECTOMY
    •  CYST REMOVAL
    •  SURGICAL EXTRACTION OF IMPACTED TOOTH

Orthodontics

Orthodontics refers to the use of braces to align crooked or crowded teeth and to close gaps between teeth. Orthodontic treatment can improve your dental health and change your facial appearance for the better. It can be done using teeth coloured ceramic brackets which are nearly invisible.

#
#

Orthodontic Correction With Fixed Orthodontic Braces

Invisalign Clear Aligner

Invisalign straightens your teeth using a custom-made series of aligners created for you and only you. These aligner trays are made of smooth, comfortable and virtually invisible plastic that you wear over your teeth. They gradually and gently shift your teeth into place. There are no metal brackets to attach and no wires to tighten. You just pop in a new set of aligners approximately every two weeks, until your treatment is complete. You will achieve a great smile with little interference to your daily life.

#
#

Endodontics (Root Canal Treatment)

We do single step pain free root canal treatment with rotary instruments and advanced apex locater.

#
#

Crown Lengthening, Post Core & Zirconia Crown

Crowns & Bridges

Crowns are used to cover teeth that are weakened by decay, severely damaged, chipped or discolored. The crowns can be metal containing or metal-free. Zirconia crowns, popularly known as All Ceramic or Metal-free crowns are used with Computer Aided Technology for the highest level of precision and accuracy. Metal free ceramic crown and bridges are the latest advancement are esthetically very supreme.

#
#

Porcelain (Ceramic) Bridge

#
#

Mary Land Bridge

#
#

Zirconia Metal Free Crown

#
#

Dental Implants

Titanium implants serve as the artificial root in the jaw to support crowns and dentures. When teeth are missing in the jaw, fixed artificial teeth can be provided by inserting titanium implants which serve as the tooth or foundation for the teeth. Candidates for dental implants must be in good general and oral health with adequate jaw bone and healthy gum tissue in the area of missing teeth. We use an international brands like Nobel Biocare, Straumann and Adin products for dental implant treatment.

#
#

Pediatric Crown Restoration

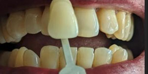
Tooth Whitening

Bleaching is the simplest way to brighten your smile. Surface stains caused by food can be removed to reveal a glowing smile. In the BRITESMILE technique a bleaching solution is applied to the stained teeth and activated with heat of light in the dental clinic. Alternatively, bleaching gel is provided to you to be used with a tray at home. Your teeth can become 5-6 shades lighter. Depending on your lifestyle, you may need to bleach periodically.

#
#

Gum Treatments

Gum disease is the inflammation or infection that attacks the gums and bone that hold your teeth in place. Gum disease can be treated in ways ranging from cleaning to surgery but it can be prevented altogether by regular brushing, flossing and professional cleaning. Various periodontal treatments include Scaling, Deep Cleaning, Root Planing, Flap surgery, Bone and Soft Tissue Grafting (Regeneration).

#
#

DE - Pigmentation

Pedodontics

Special care is given in dental health of children. Pulpectomy which is the removal of pulp in primary dentition or milk tooth is done and the tooth structure is protected. Habits such as Thumb sucking, Lip Chewing etc are stopped using habit breaking appliance.

#
#

#
#

Pediatric Crown Restoration

Dentures

Dentures are sets of artificial teeth set into plastic frameworks that rest directly on the gums. Partial dentures are used for people with several teeth missing, while complete dentures are used when people have lost all their upper or lower teeth. The comfort of dentures can be greatly improved by integrating them with implants. Latest innovation in denture is, Titanium denture - light weight and more comfortable without denture bites. We are using unbreakable SUNFLEX dentures.

#
#

#
#

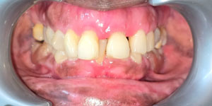
Cosmetic Dentistry

A cosmetic dentist can help you get the smile you've always dreamed about. New technology and techniques have revolutionized the services offered by cosmetic dentists and there are many options for considering some form of cosmetic enhancement. Smile make over increases face value.

#
#

E Max Ceramic Veneer

#
#

Composite

#
#

Metal Free Zirconia Crowns

#
#

Ceramic Crown

#
#

Diastema Closure - Composite

Diastema Closure

In restorations involving diastema closures, it is very important to measure the centrals for symmetry and tooth proportion. This restoration only requires the use of a microfill composite (Renamel Microfill, Cosmedent) because we are replacing enamel only. Composite resins allow for conservative treatment and long lasting restorations.

#
#